Behåll tänderna på plats
Kom ihåg att din behandling inte är färdig när tandställningen har tagits bort. För att dina tänder ska hållas kvar i sitt nya läge behöver de stabiliseras. Stabiliseringen sker genom att antingen använda en s.k. essixskena nattetid eller med hjälp av en fastlimmad metalltråd.
Vi kallar det för ”retention”. Retentionen är viktigt för att tänderna vill återgå till utgångsläget. Avslutar man retentionen för tidigt kan bettet efter några år se ut som om man aldrig har haft tandställning. Därför bör du följa dessa råd.
Essixskena

Essixskenan är avtagbar. Om inte du har fått andra instruktioner används Essixskenan varje natt under första året. Därefter trappar man ner i användningen genom att använda essixskenan varannan natt i ett halvår, följt av fortsatt nedtrappning. Två år efter att tandställningen har plockats bort använder man essixskenan 1-2 nätter i veckan. Vill man att tänderna ska stå kvar i det läget dem har efter behandlingen behöver man använda essixskenan 1-2 nätter i veckan som långtidsretention.

Essixskenan rengörs med tandborste och ljummet vatten. Den levereras i en ask som även den behöver rengöras ibland. Det är viktigt att förvara skenan i asken när den inte används och utom räckhåll för eventuella husdjur. Om skenan tappas bort får du själv stå för kostnaden för en ev. ny skena.
Ta med skenan vid varje kontroll!
Extra rengöring vid behov
Beläggningar på skenan kan tas bort genom att lägga den i ett glas vatten med 2 msk ättikssprit (eller en Coregatablett), låt den ligga ca 1 timme, rengör den därefter som vanligt med borste och ljummet vatten.
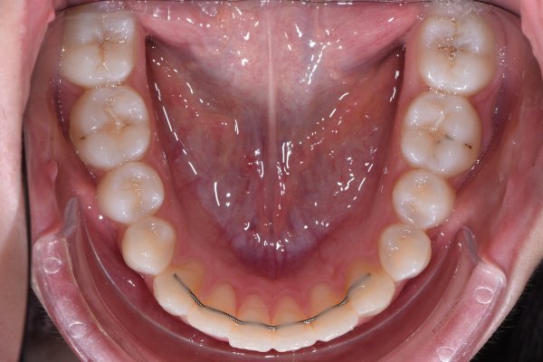
Fastlimmad tråd

Tråden sitter fastlimmad på baksidan av dina framtänder. Tråden är en långtidsretention som ska sitta fast tills vidare. Det är därför viktigt att borsta och rengöra noggrant kring tråden. Lossnar den helt eller delvis ska du höra av dig snarast. Risken är annars att enstaka tänder kan flytta sig och en ny behandling kan då inte erbjudas kostnadsfritt.
Får du problem med skena eller tråd ska du snarast höra av dig till oss.
