Research Translational Vascular Medicine
The team's research focus is Novel mechanisms of atherosclerotic plaque (in)stability governed by smooth muscle cells.
Novel mechanisms of atherosclerotic plaque (in)stability governed by smooth muscle cells
Translational Vascular Medicine lead by Ljubica Matic is a translational Team composed of basic researchers with expertise in molecular biology and pharmacology, and clinically active physicians. The Team applies integrative analyses combining bioinformatic and clinical data studies with murine models of vascular injury and disease, while in vitro systems based on primary cells and tissue explants are utilized for functional and mechanistic investigations.
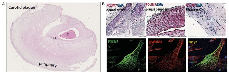
Vascular diseases comprise conditions like atherosclerosis, aortic aneurysms and restenosis after surgical interventions, contributing to the high overall cardiovascular mortality. Pathological vessel changes are generally featured by inflammatory, apoptotic and remodeling processes involving lipids, immune and smooth muscle cells (SMCs). Given the capacity of SMCs to provide tissue integrity, we hypothesize that understanding of mechanisms that regulate their function can yield new strategies to prevent vascular complications. Therefore, we focus on novel molecular mechanisms of vascular disease particularly related to SMCs, as well as on biomarkers and therapeutic approaches in atherosclerosis. (Fig 1).

Our ultimate goal is to develop new targets for stabilizing therapies or diagnostic imaging modalities aimed at early detection of vulnerable atherosclerotic plaques and patients. Our dedication to translational research in this area, as well as long-term collaborations with numerous groups worldwide (Stanford, Maastricht University, King’s College, Ottawa Heart Institute, Munich Technical University, etc.), have already demonstrated how a combination of clinical and experimental research has the true potential to advance the knowledge of vascular disease and improve patient management.
