Forskargrupper inom Centrum för psykiatriforskning
Foto: iStockMarie Dahlins forskargrupp
Suicidologi och transkulturell psykiatri
Foto: iStockJohan Francks forskargrupp
Behandling av skadligt bruk och beroende.
Foto: Emma HanquistJohanna Gripenbergs forskargrupp
Prevention av substansbruk
Foto: PexelsNitya Jayaram och Anders Hammarbergs forskargrupp
Psykologisk behandling av beroendetillstånd

Johan Bjurebergs forskargrupp
Emotionsreglering, självskadebeteende, suicid och intervention (ESSI)
Foto: Getty ImagesKatarina Howners forskargrupp
Forensisk beteende- och neurovetenskap (FBN)
Foto: OkändJens Högströms forskargrupp
Barn och ungdomspsykiatri
Foto: Joshua Woroniecki, PixabayViktor Kaldos forskargrupp
Psykologiska interventioner – innovation, förbättring och implementering
Foto: N/APhilip Lindners forskargrupp
Digital psykiatri
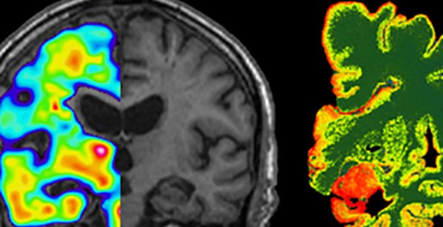
Foto: A. Varrone,L. Brundin,L. FardeJohan Lundbergs forskargrupp
Molekylär hjärnavbildning, neuropsykofarmakologi, depressions- och ångestsjukdomar
Foto: Emma HanquistTobias Lundgrens forskargrupp
Psykoterapiforskning
Foto: Emma HanquistDavid Mataix-Cols forskargrupp
Tvångssyndrom och relaterade tillstånd ur ett livslångt perspektiv
Foto: Kristoffer MånssonKristoffer Månssons forskargrupp
Mental hälsa och neural dynamik
Foto: unknownPredrag Petrovic's research group
Kognitiv neuropsykiatri
Foto: Getty ImagesChristoffer Rahms och Malin Jolebys forskargrupp
Förövarprevention
Foto: Getty ImagesMats Ramstedts forskargrupp
Alkohol- och drogepidemiologi
Foto: iStockChristian Rücks forskargrupp
Ångest, tvång och genetik
Foto: Andy Dean Photography / MostphotosJari Tiihonens forskargrupp
Psykofarmakologi, schizofreni och drogmissbruk
Foto: Agneta Nordberg,Karolinska InstitutetAndrea Varrones forskargrupp
Molekylär hjärnavbildning av neurodegenerativa sjukdomar
Foto: iStockVladana Vukojevics forskargrupp
Experimentell alkohol- och drogberoendeforskning
